loading
Vertebroplastie/ Kyphoplastie
Die Vertebroplastie/Kyphoplastie ist ein minimal-invasives Verfahren zur Stabilisierung von Wirbelkörperfrakturen bei dem der Wirbelkörper mit Knochenzement aufgefüllt wird.
loading
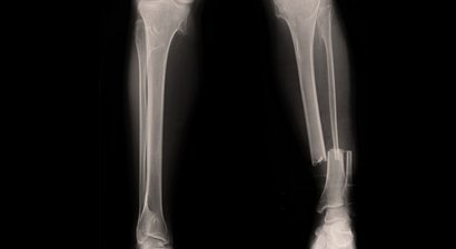
Unterschenkel Marknagel
Der Unterschenkel besteht aus dem Schien- und Wadenbein (Tibia und Fibula). Kommt es zu einem Unterschenkelbruch, sind meist beide Knochen gebrochen. Natürlich kann die Fraktur auch nur einen der beiden Röhrenknochen betreffen. Als Marknagelung oder Marknagelosteosynthese wird das Operatio...
loading
Unfall- und Sportverletzungen
Rotatorenmanschette Schulter Als Rotatorenmanschette wird eine Muskelgruppe im Schulterbereich bezeichnet. Eine der wichtigsten Aufgaben der Rotatorenmanschette ist die Stabilisierung des Schultergelenks. Durch einen Sturz auf den Arm oder die Schulter kann die Rotatorenmanschette verletzt werden. E...
loading
Umstellungsosteotomie
Die Umstellungsosteotomie (auch Korrekturosteotomie) ist ein operatives Verfahren zum Ausgleich der Beinachse, z.B. bei Fehlstellung im Kniegelenk (O-Bein = Genu Varum), um eine Entlastung des degenerativ veränderten Gelenkes zu erreichen, wenn eine Knorpelzelltransplantation bzw. ein Microfrak...
loading
Stoßwellentherapie
Die Stoßwellentherapie wird vor allem bei Schmerzzuständen am Bewegungsapparat eingesetzt und kann an den betroffenen Stellen eine deutliche Linderung bewirken. Sie stellt eine wirkungsvolle und schnell durchführbare Therapiemöglichkeit dar und ersetzt in vielen Fällen eine...
loading
Revisionsendoprothetik
Als Revisionsendoprothetik (auch als Wechseloperation bekannt) wird allgemein der teilweise oder komplette Austausch von bereits implantierten Gelenkprothesen bezeichnet. Eine Lockerung des künstlichen Gelenks stellt den häufigsten Grund für eine Revisionsendoprothetik dar. Dabei kann...
loading
Prothetik
Verletzte oder kranke Gelenke sowie die damit verbundenen Schmerzen können zu einer eingeschränkten Mobilität und in weiterer Folge zu einem Verlust an Lebensqualität führen. Mit dem Einsatz eines künstlichen Gelenks, vorwiegend im Hüft-, Knie- und Schulterbereich,...
loading
Konservative Wirbelsäulentherapie
Schmerztherapie Die Schmerztherapie wird zur Reduktion und Linderung von akuten oder chronischen Schmerzen eingesetzt. Akute Schmerzen werden vorwiegend kausal behandelt. Dies bedeutet, dass man versucht, die den Schmerzen zugrundeliegende Krankheit als Ursache der Schmerzen zu beseitigen. Damit ver...
loading
Knorpelaufbautherapie
Ein zunehmender Verschleiß der menschlichen Gelenke (Arthrose) führt meist zu starken Schmerzen und dadurch auch zu Bewegungseinschränkungen und dem Verlust an Lebensqualität. Durch den Gelenkknorpelabrieb kommt es oft zu einer Entzündung der Gelenkkapsel. Die Gelenkschmier...
loading
Hüftgelenksnahe Frakturversorgung
Schenkelhalsfraktur Der Oberschenkelhalsbruch, auch Schenkelhalsfraktur genannt, zählt zu den am häufigsten auftretenden osteoporotischen Frakturen. Das Risiko für Schenkelhalsfrakturen steigt mit zunehmendem Alter. Ältere Menschen mit einer bestehenden Osteoporose sind deshalb b...
loading
Handgelenk Verplattung
Das Handgelenk besteht aus mehreren einzelnen Teilgelenken, die als eine Art Einheit fungieren und die komplexen Bewegungen des Handgelenks ermöglichen. Spricht man von einem Handgelenksbruch, der oft durch einen Sturz verursacht wird, ist damit meist eine Fraktur der Speiche (Radius) gemeint....
loading
Außen- und Innenknöchel Verplattung
Der Knöchel bildet den oberen Teil des Sprunggelenks. Knickt der Fuß plötzlich und stark, also unkontrolliert um, kann es zu einem Knöchelbruch gegen innen oder außen kommen. Ein Knöchelbruch kann aber auch durch äußere Einwirkungen (z.B. Tritte oder Schl&a...
Erweitertes Profil (entgeltlich). Aktualität, Richtigkeit und Vollständigkeit der Daten ohne Gewähr.