loading
Sportmedizinische Beratung
In der sportmedizinischen Beratung geht es vor allem um Ratschläge und Tipps hinsichtlich Trainingsabläufe und Therapiemöglichkeiten nach z.B. Verletzungen, Operationen oder Überlastungsschäden. Durch die Integration meiner Ordination in das Physikalische Ambulatorium und me...
loading
Konservative Arthrosetherapie
Arthrose ist eine weitverbreitete Gelenkerkrankung bei Erwachsenen. Sie führt durch den schwindenden Gelenkknorpel zu Schmerzen und Bewegungseinschränkungen, die in ihrer Ausprägung variieren können. Arthroseberatung Eine frühe Arthrose-Behandlung kann die Beweglichkeit der Gelenke erhalten und verb...
loading
Hüftarthroskopie (Gelenkspiegelung)
Die Hüftarthroskopie hat sich in den letzten Jahren enorm weiterentwickelt. Therapieverfahren, die früher lediglich mit großen Schnitten und damit verbundenen Zugangsproblemen zu behandeln waren, können heute schonend und mit teilweise besseren Ergebnissen arthroskopisch per Gel...
loading
Gelenkerhaltende Hüftchirurgie
Zur gelenkserhaltenden Hüftchirurgie zählen sicherlich die Hüftarthroskopie und die PAO, die an anderer Stelle beschrieben sind. Diese stellen die häufigsten und sehr effektiven Operationsverfahren zum Gelenkerhalt dar. Allerdings gibt es auch Formstörungen und Erkrankungen,...
loading
PAO (periazetabuläre Osteotomie), Beckenosteotomie bei Hüftdysplasie (Stellungskorrektur der Hüftpfanne),
Die Hüftdysplasie des Jugendlichen und Erwachsenen ist durch die in Österreich durch Prof. Reinhard Graf entwickelte Säuglingssonografie glücklicherweise deutlich zurückgegangen. Früher war sie eine der häufigsten Ursachen für den frühzeitigen Verschlei&s...
loading
Hüftgelenkersatz (Hüft-TEP)
Wenn Sie unter Hüftgelenkarthrose leiden und der Verlust des Gelenkknorpels fortgeschritten ist, kann die Implantation einer Hüfttotalendoprothese (Hüft-TEP) eine ernsthafte Option sein. Zunächst sollte immer eine konservative Therapie versucht werden. Ist die Lebensqualität...
loading
Chirurgische Knorpeltherapie / Knorpelzelltransplantation
Zur Knorpeltherapie am Knie stehen eine Vielzahl von wissenschaftlich erprobten Behandlungsoptionen bereit. Je nach Art der Knorpelschädigung, deren Ursache sowie der Anspruch des Patienten werden individuelle Maßnahmen zur Behandlung ausgewählt. Ziel einer Knorpeltherapie ist eine R...
loading
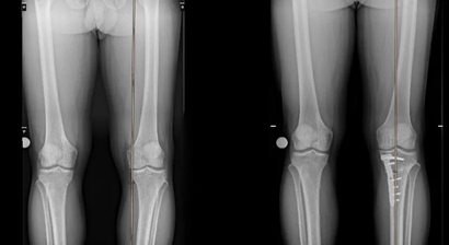
Beinachsenkorrektur bei X- und O-Bein Fehlstellungen
Die Ursachen für eine Beinachsfehlstellung können vielfältig sein. Neben angeborenen Fehlstellungen unterscheidet man auch im Laufe der Lebensjahre erworbene Verformungen des Ober- oder Unterschenkelknochens. Verheilt beispielsweise der Bruch am Ober- oder Unterschenkelknochen nach einem Unfall nich...
loading
Kniearthroskopie
Die Kniearthroskopie ermöglicht eine detaillierte Untersuchung des Inneren des Kniegelenks. Sie wird häufig zur Diagnose und Behandlung von Knieerkrankungen wie Meniskusschäden, Kreuzbandverletzungen, Gelenkentzündungen und Knorpelschäden eingesetzt. Der minimalinvasive Eingriff ist besonders schone...
loading
Knieprothese (Kniegelenkersatz)
Ein schmerzendes Knie kann auf eine Kniegelenkarthrose hinweisen. Dabei handelt es sich um eine verschleißbedingte Erkrankung des Kniegelenks, bei der der Gelenkknorpel beschädigt wird. In den frühen Stadien der Kniearthrose kann der Krankheitsverlauf durch gezielte Therapien und ein...
loading
Korrektur von Fuß- und Zehenfehlstellungen
Der Fuß mit seiner Vielzahl an Knochen und seiner fein strukturierten Anatomie, ist ein erstaunlich komplexes Gebilde. Doch ein falscher Tritt, eine kleine Fehlstellung oder ungeeignetes Schuhwerk können leicht dazu führen, dass die Balance des Fußes gestört wird. Die Fußchirurgie ist ein spezialisi...
loading
Wechseloperationen bei gelockertem Gelenkersatz
Eine Wechseloperation kann notwendig sein, wenn das künstliche Gelenk gelockert ist oder eine Infektion im Bereich der Prothese auftritt. Die Entscheidung für eine Revision wird basierend auf Ihre individuelle Situation und die diagnostischen Ergebnisse getroffen. Ich stehe Ihnen gerne für ein ausfü...
loading
Arthroskopie des Sprunggelenks
Sprunggelenkarthroskopie: zur Knorpel-Knochenregeneration bei Osteochondrosis Dissecans und osteochondralen Defekten des Sprungbeins (Talus) mit matrixgestützter Knochenmarkstimulation, AMIC und Spongiosatransplantation. Seit Jahren gebe ich die Daten zu den Ergebnissen nach diesen Eingriffen a...
loading
Infiltrationstherapie
Injektionen und Infiltrationen führe ich als konservative Therapie und auch Postoperativ zur Unterstützung einer Knorpelregeneration häufig durch. Streng sterile Anwendung zur Vermeidung von Infektionen ist bei Gelenkinjektionen besonders wichtig. Cortison mit teilweise relevanten Neb...
loading
Orthesen- und Einlagenversorgung
Orthesen dienen nicht nur der Prävention und Therapie von Verletzungen und Erkrankungen des Bewegungsapparats. Wir nutzen sie auch zur Entlastung bei bestimmten Gelenkanteilen, z.B. bei Gelenksarthrose. Dadurch kann häufig die Schmerzsituation verbessert werden. Sie spielen aber auch eine...
Erweitertes Profil (entgeltlich). Aktualität, Richtigkeit und Vollständigkeit der Daten ohne Gewähr.