Full-Mouth-Rehabilitation (Ganzheitliche Zahnsanierung)

Full-Mouth-Rehabilitation (Ganzheitliche Zahnsanierung) - Dr. Sarah Abdel-Hamied - Zahnärztin Wien 1050
1/1

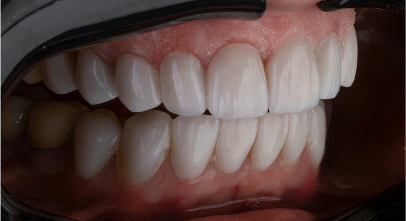
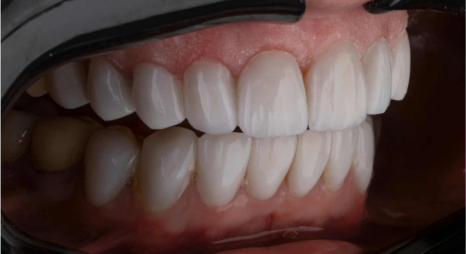
Die Full Mouth Rehabilitation stellt ein umfassendes, individuell abgestimmtes Behandlungskonzept dar, bei dem das gesamte Gebiss funktionell und ästhetisch neu aufgebaut wird. Zu Beginn erfolgt eine detaillierte Analyse von Zahnstellung, Bisslage, Kiefergelenk, Kaumuskulatur sowie der ästhetischen Proportionen des Gesichts. 

Auf dieser Basis wird ein präziser Behandlungsplan erstellt, der alle notwendigen Schritte berücksichtigt. Je nach Ausgangssituation kommen Implantatlösungen wie All-on-4 oder All-on-6, hochwertige Kronen- und Brückenversorgungen sowie prothetische Lösungen zum Einsatz. 

Zusätzlich werden ästhetische Maßnahmen wie Bleaching oder Formkorrekturen integriert, um ein harmonisches Gesamtbild zu erreichen. Ziel ist ein langlebiges, stabiles und natürlich wirkendes Ergebnis, das Funktion, Gesundheit und Ästhetik optimal vereint.

Erweitertes Profil (entgeltlich). Aktualität, Richtigkeit und Vollständigkeit der Daten ohne Gewähr.