loading
Full-Mouth-Rehabilitation (Ganzheitliche Zahnsanierung)
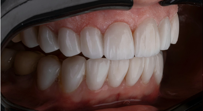
Die Full Mouth Rehabilitation stellt ein umfassendes, individuell abgestimmtes Behandlungskonzept dar, bei dem das gesamte Gebiss funktionell und ästhetisch neu aufgebaut wird. Zu Beginn erfolgt eine detaillierte Analyse von Zahnstellung, Bisslage, Kiefergelenk, Kaumuskulatur sowie der ästhetischen...
loading
Aligner-Therapie (unsichtbare Zahnkorrektur)
Die Aligner-Therapie ist eine moderne Methode zur Korrektur von Zahnfehlstellungen ohne sichtbare Metallspangen. Nach einer digitalen Analyse mittels 3D Scan wird der gesamte Behandlungsverlauf exakt geplant und per Vorher-Nachher-Video visualisiert.  Anschließend wird eine Serie individuell ge...
loading
Digitaler 3D-Oralscanner (Abdruckfreie Behandlung)
In unserer Praxis werden herkömmliche Abdruckmethoden weitgehend durch moderne digitale Verfahren ersetzt. Mithilfe eines hochpräzisen 3D Oralscanners wird die Zahnsituation schnell, kontaktarm und detailgenau erfasst.  Diese Methode ist deutlich angenehmer, insbesondere für Personen mit Würger...
loading
Zahnkronen und Veneers (CEREC)
Die Herstellung von Zahnkronen, Teilkronen (Inlays, Onlays und Overlays) und Veneers erfolgt vollständig digital und in vielen Fällen innerhalb eines einzigen Termins. Nach der präzisen Erfassung der Zahnsituation mittels 3D Scanner wird die Krone computergestützt geplant und direkt vor Ort gefertig...
loading
Prothetik / Zahnersatz
Die prothetische Versorgung dient der Wiederherstellung von Funktion und Ästhetik bei fehlenden oder stark geschädigten Zähnen. Dazu zählen individuell angefertigte Kronen, Brücken und Prothesen, die exakt auf die jeweilige Situation abgestimmt werden.  Ein besonderer Vorteil ist die enge Zusam...
loading
All-on-4 / All-on-6 Versorgung
In unserer Praxis bieten wir die implantatgetragenen All-on-4 und All-on-6 Konzepte zur Versorgung eines zahnlosen oder stark geschädigten Kiefers an. Dabei werden – abhängig von der individuellen Knochensituation und Planung – vier oder sechs Implantate pro Kiefer gesetzt, die als stabile Basis für...
loading
Mundhygiene (Professionelle Zahnreinigung und Vorsorgekonzept)
Die professionelle Mundhygiene bildet die Grundlage für langfristig gesunde Zähne und ein gepflegtes Erscheinungsbild. Nach einer individuellen Beurteilung werden harte und weiche Beläge, Zahnstein sowie Verfärbungen gründlich entfernt.  Moderne Ultraschall- und Pulverstrahlgeräte ermöglichen e...
loading
Implantologie
Implantate stellen eine moderne und langlebige Lösung zum Ersatz fehlender Zähne dar. Dabei wird eine künstliche Zahnwurzel im Kiefer verankert, die nach der Einheilphase als stabile Basis für Zahnersatz dient.  Implantate bieten eine natürliche Funktion und Ästhetik, da sie sich wie eigene Zäh...
loading
Orale Chirurgie
Im Bereich der oralen Chirurgie werden präzise und schonende Eingriffe im Mundraum durchgeführt. Dazu zählen unter anderem Zahnentfernungen, chirurgische Vorbereitungen für Implantate sowie weitere notwendige operative Maßnahmen.  Durch moderne Techniken und eine sorgfältige Planung wird der Ei...
loading
Bleaching
Das professionelle Bleaching dient der schonenden Aufhellung der Zähne unter kontrollierten Bedingungen. Spezielle Aufhellungssysteme entfernen Verfärbungen und sorgen für ein gleichmäßiges und natürlich wirkendes Ergebnis.  Die Behandlung kann individuell angepasst werden und ist ein wichtiger...
loading
Zahnästhetik
Die ästhetische Zahnmedizin umfasst verschiedene Behandlungen zur Verbesserung von Form, Farbe und Stellung der Zähne. Ziel ist ein natürlich wirkendes, harmonisches Gesamtbild, das individuell auf Gesichtszüge und Proportionen abgestimmt ist.  Durch präzise Planung und moderne Techniken können...
loading
Zahnerhaltung
Der Erhalt der natürlichen Zähne steht im Mittelpunkt jeder nachhaltigen Behandlung. Durch frühzeitige Diagnostik und minimalinvasive Maßnahmen können Schäden rechtzeitig erkannt und behandelt werden.  Hochwertige Füllungsmaterialien ermöglichen eine stabile und ästhetische Versorgung, die sich...
Erweitertes Profil (entgeltlich). Aktualität, Richtigkeit und Vollständigkeit der Daten ohne Gewähr.