Unsichtbare Zahnspange

Unsichtbare Zahnspange - Dr. Stephan Hinz - Zahnarzt Salzburg 5020
1/4
Unsichtbare Zahnspange - Dr. Stephan Hinz - Zahnarzt Salzburg 5020
2/4
Unsichtbare Zahnspange - Dr. Stephan Hinz - Zahnarzt Salzburg 5020
3/4
Unsichtbare Zahnspange - Dr. Stephan Hinz - Zahnarzt Salzburg 5020
4/4

Ein strahlend weißes Lächeln mit geraden Zahnreihen trägt viel zur Ausstrahlung eines Menschen bei. Viele Erwachsene nehmen Zahnfehlstellungen jedoch hin, da sie sich mit dem Gedanken an eine Zahnspange nicht anfreunden können.

Innovative Zahnregulierungssysteme bzw. unsichtbare Zahnspangen ermöglichen die Korrektur von Zahnfehlstellungen ohne, dass die Behandlung von außen sichtbar ist - ein unsichtbarer Weg zu einem schönen Lächeln wird so möglich.

  • In der Praxis bieten wir hierfür zwei verschiedene Systeme an, die unsichtbare Korrektur von Zahnfehlstellungen mit speziellen Schienen sowie die unsichtbare Korrektur von Zahnfehlstellungen mit einer innenliegenden (inkognito) Zahnspange.

Korrektur von Zahnfehlstellungen mit unsichtbaren Schienen


Die unsichtbaren Schienen werden nach einer genauen Diagnose der Zahnfehlstellung exakt an Ober- und Unterkiefer angepasst. Nach Erstellung eines genauen Behandlungsplans können Sie sich das Modell der Schienen und das zukünftige Ergebnis in einer 3D-Animation ansehen.
Die durchsichtigen Schienen sind aus speziellem Kunststoff und bieten einen besonders hohen Tragekomfort. Dank ihrer hohen Elastizität drehen sie die Zähne während der Behandlung sanft und schonend in die gewünschte Position. Beim Essen und Zähneputzen konnten sie unkompliziert herausgenommen werden.
Die unsichtbare Zahnspange wird in einem Intervall von zwei Wochen in der Praxis neu angepasst und reguliert die Zähne ab den ersten Schienen.

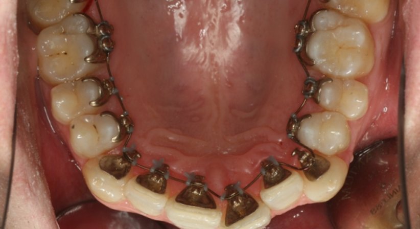
Korrektur von Zahnfehlstellungen mit einer inkognito Zahnspange


Bei der Korrektur von Zahnfehlstellungen mit einer inkognito Zahnspange werden die Brackets an der Innenseite der Zähne angebracht. Dadruch sind die Zahnspangen von außen für andere nicht sichtbar. Die heute zur Anwendung kommenden Brackets sind besonders flach und gehen mit einem angenehmen Kau- und Sprechkomfort einher.

Bei Fragen sind das Team der Praxis und ich jederzeit gerne für Sie da.

Erweitertes Profil (entgeltlich). Aktualität, Richtigkeit und Vollständigkeit der Daten ohne Gewähr.