Individuelle Parodontitistherapie

Individuelle Parodontitistherapie - Dr. Robert Stillmann, MSc - Zahnarzt Wien 1190
1/1

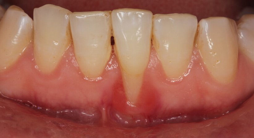
Bei Parodontitis handelt es sich um eine zumeist chronisch verlaufende Entzündung des Zahnhalteapparates, die durch bakterielle Plaque hervorgerufen wird.

 

Typische Symptome zeigen sich in Form von häufigem Zahnfleischbluten und unangenehmem Mundgeruch. Zudem ist das Zahnfleisch meist gerötet, angeschwollen und berührungsempfindlich. Bleibt eine Parodontitis unbehandelt, muss man mit tiefen Zahnfleischtaschen, einem Zahnfleischrückgang und lockeren Zähnen rechnen. Im schlimmsten Fall kommt es zu einem Zahnverlust.

 

Eine anfängliche Zahnfleischentzündung sollte also ernst genommen werden, da sie zur langfristigen Schädigung der Zähne führen kann!

 

Mithilfe einer individuellen Parodontitistherapie kann Zahnausfall verhindert werden! Die Behandlung ist oft sehr zeitintensiv und erfordert das uneingeschränkte Mitwirken des Patienten. Nur so lässt sich die Erkrankung dauerhaft eindämmen.

 

Eine auf Parodontitis spezialisierte Zahnärztin kümmert sich in der Praxis Dr. Stillmann um Ihr Zahnwohl!

Erweitertes Profil (entgeltlich). Aktualität, Richtigkeit und Vollständigkeit der Daten ohne Gewähr.