Fernröntgen

Fernröntgen - Dr. Axel Gebauer - Radiologe Baden 2500
1/1

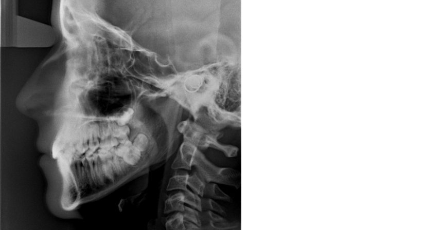
Für die Planung kieferorthopädischer Behandlungen benötigen Zahnärzte spezielle Röntgenaufnahmen. Diese werden in einem bestimmten Abstand mit einer spezielle Halterung und Filter aufgenommen und können vom Kieferorthopäden in Computerprogramme geladen und ausgewertet werden.
Die Untersuchung wird von den Krankenkassen nicht bezahlt und privat verrechnet.

Erweitertes Profil (entgeltlich). Aktualität, Richtigkeit und Vollständigkeit der Daten ohne Gewähr.