Computertomographie

Computertomographie - Dr. Axel Gebauer - Radiologe Baden 2500
1/3
Computertomographie - Dr. Axel Gebauer - Radiologe Baden 2500
2/3
Computertomographie - Dr. Axel Gebauer - Radiologe Baden 2500
3/3

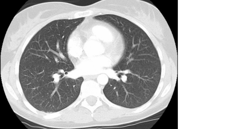
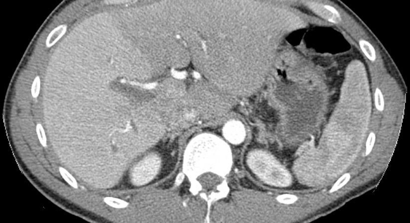
Die CT ist eine ausgezeichnete Methode zur Untersuchung und überlagerungsfreien Darstellung von Veränderungen im Körper.

Sie ist besonders zur Untersuchung der Lunge und des Bauchraumes geeignet.

Der Patient liegt hier auf einer bequemen Liege und wird durch eine große Öffnung von ca. 70 cm Durchmesser geschoben. In dieser Öffnung werden von verschiedenen Seiten Röntgenstrahlen durch den Körper geschickt und auf der gegenüberliegenden Seite des Rings registriert.

Durch die jeweiligen Abschwächungen der Strahlenenergie können mittels Computer Schnittbilder der untersuchten Region errechnet werden. Durch die Gabe von Kontrastmittel über die Vene kann die Aussagekraft der Untersuchung noch gesteigert werden. Kontrastmittel sind meist jodhältige Substanzen die sich in den verschiedenen Organen wie Leber, Nieren, Milz etc. anreichern. Durch Störungen oder Änderungen der Kontrastaufnahme ergeben sich Bilder, die Rückschlüsse auf die Charakteristik von Veränderungen zulassen.

Sehr selten sind allergische Reaktionen auf die gut verträglichen Mittel zu beobachten, die im Allgemeinen sehr gut medikamentös unter Kontrolle zu bringen sind.

Je nach Fragestellung wird die Untersuchung unterschiedlich geplant, so läuft eine CT des Kopfes (CCT) ganz anders ab als eine CT des Bauches (Abdomen-CT). Sie dauern auch verschieden lange, aber in der Regel benötigt man nicht mehr als 10 Minuten zur Datensammlung. Die unterschiedlichen Untersuchungsgänge ergeben auch eine ganz variable Strahlenbelastung, die höher ist als bei einem herkömmlichen Röntgen, aber durch den gerätetechnischen Fortschritt bereits weit reduziert werden konnte.

Der Vorteil dieser Methode liegt in der sehr guten Bildschärfe und der dadurch bedingten hohen Aussagekraft. Nachteilig ist die trotz der Fortschritte immer noch relativ hohe Strahlenbelastung.

Erweitertes Profil (entgeltlich). Aktualität, Richtigkeit und Vollständigkeit der Daten ohne Gewähr.