Priv.-Doz. DDr. Jörg Friesenbichler
Orthopäde, Orthopäde
Wahlarzt u. Privat
0664/753 63...
0664/753 63 770
Hauptstraße 26 , 8582 Rosental an der Kainach
Hauptstraße 26 , 8582 Rosental an der Kainach
Route planen
Karte zeigen
Barrierefreier Zugang
Der Zugang erfolgt stufenlos oder mit einer Rampe
Willkommen in der Ordination DDr. Friesenbichler
In der orthopädischen Facharztordination haben wir uns auf die Abklärung, sowie die konservative und operative Behandlung von Erkrankungen des Stütz- und Bewegungsapparates spezialisiert.
Meine langjährige Erfahrung und Ausbildung im Bereich der minimal-invasiven Hüftchirurgie, der Revisionschirurgie (Wechseloperationen) an der Hüfte, allgemein-orthopädischen Eingriffen, sowie die Spezialausbildung zur Abklärung, Behandlung und operativen Versorgung von gutartigen und bösartigen Gewächsen im Bereich des Stütz- und Bewegungsapparates (Knochen- und Weichteiltumore), an der Univ. Klinik für Orthopädie und Traumatologie, LKH Graz, kommt Ihnen bei der Behandlung zu Gute.
Meine Leidenschaft für Medizin, Orthopädie und chirurgische Eingriffe führt über den direkten PatientInnenkontakt zu einer individuellen, auf wissenschaftlichen Daten basierenden Behandlung und entsprechenden Therapiekonzepten.
Die Kooperation mit umliegenden Kolleginnen und Kollegen aller Fachdisziplinen, sowie anderen Kolleginnen und Kollegen im Bereich der Orthopädie und orthopädischen Chirurgie, ermöglicht eine adäquate Diagnostik, Therapieplanung und erfolgversprechende Behandlung im Sinne der Patientinnen und Patienten. Zusätzlich besteht ein gut funktionierendes Netzwerk zur interdisziplinären Behandlung von komplexen Erkrankungen des Stütz- und Bewegungsapparates mit dem LKH Graz.
Durch die hauseigene Physiotherapie, den umliegenden physiotherapeutischen Zentren und den vielen niedergelassenen Therapeutinnen und Therapeuten, ist eine optimale Bewegungs- und (Re-)Mobilisationstherapie garantiert.
Ich freue mich, Sie im Bedarfsfall in unserer Ordination begrüßen zu dürfen.
Meine langjährige Erfahrung und Ausbildung im Bereich der minimal-invasiven Hüftchirurgie, der Revisionschirurgie (Wechseloperationen) an der Hüfte, allgemein-orthopädischen Eingriffen, sowie die Spezialausbildung zur Abklärung, Behandlung und operativen Versorgung von gutartigen und bösartigen Gewächsen im Bereich des Stütz- und Bewegungsapparates (Knochen- und Weichteiltumore), an der Univ. Klinik für Orthopädie und Traumatologie, LKH Graz, kommt Ihnen bei der Behandlung zu Gute.
Meine Leidenschaft für Medizin, Orthopädie und chirurgische Eingriffe führt über den direkten PatientInnenkontakt zu einer individuellen, auf wissenschaftlichen Daten basierenden Behandlung und entsprechenden Therapiekonzepten.
Die Kooperation mit umliegenden Kolleginnen und Kollegen aller Fachdisziplinen, sowie anderen Kolleginnen und Kollegen im Bereich der Orthopädie und orthopädischen Chirurgie, ermöglicht eine adäquate Diagnostik, Therapieplanung und erfolgversprechende Behandlung im Sinne der Patientinnen und Patienten. Zusätzlich besteht ein gut funktionierendes Netzwerk zur interdisziplinären Behandlung von komplexen Erkrankungen des Stütz- und Bewegungsapparates mit dem LKH Graz.
Durch die hauseigene Physiotherapie, den umliegenden physiotherapeutischen Zentren und den vielen niedergelassenen Therapeutinnen und Therapeuten, ist eine optimale Bewegungs- und (Re-)Mobilisationstherapie garantiert.
Ich freue mich, Sie im Bedarfsfall in unserer Ordination begrüßen zu dürfen.
Barrierefreier Zugang
Der Zugang erfolgt stufenlos oder mit einer Rampe
Krankenkassen
Wahlarzt, Privat
Ordinationszeiten
Heute geöffnet
08:00–15:00
Ordinationszeiten
-
Montag
08:00 - 15:00
-
Dienstag
08:00 - 15:00
-
Mittwoch
08:00 - 15:00
-
Donnerstag
08:00 - 15:00
- Freitag Geschlossen
- Samstag Geschlossen
- Sonntag Geschlossen
Terminvereinbarung erforderlich
Termine nur nach telefonischer Vereinbarung
Gesprochene Sprachen
Gesprochene Sprachen
- Deutsch
- Englisch
Ausbildung: Fachberechtigung & Zusatzgebiete
Ausbildung: Fachberechtigung & Zusatzgebiete
- Orthopädie u. Orthopädische Chirurgie
- Orthopädie u. Traumatologie
Diplome & Zertifikate
Diplome & Zertifikate
- Fortbildungsdiplom
Ordinationszeiten
Heute geöffnet
08:00–15:00
Ordinationszeiten
-
Montag
08:00 - 15:00
-
Dienstag
08:00 - 15:00
-
Mittwoch
08:00 - 15:00
-
Donnerstag
08:00 - 15:00
- Freitag Geschlossen
- Samstag Geschlossen
- Sonntag Geschlossen
Terminvereinbarung erforderlich
Termine nur nach telefonischer Vereinbarung
Krankenkassen
Wahlarzt, Privat
Gesprochene Sprachen
Gesprochene Sprachen
- Deutsch
- Englisch
Ausbildung: Fachberechtigung & Zusatzgebiete
Ausbildung: Fachberechtigung & Zusatzgebiete
- Orthopädie u. Orthopädische Chirurgie
- Orthopädie u. Traumatologie
Diplome & Zertifikate
Diplome & Zertifikate
- Fortbildungsdiplom
Willkommen in der Ordination DDr. Friesenbichler
In der orthopädischen Facharztordination haben wir uns auf die Abklärung, sowie die konservative und operative Behandlung...
Willkommen in der Ordination DDr. Friesenbichler
In der orthopädischen Facharztordination haben wir uns auf die Abklärung, sowie die konservative und operative Behandlung von Erkrankungen des Stütz- und Bewegungsapparates spezialisiert.
Meine langjährige Erfahrung und Ausbildung im Bereich der minimal-invasiven Hüftchirurgie, der Revisionschirurgie (Wechseloperationen) an der Hüfte, allgemein-orthopädischen Eingriffen, sowie die Spezialausbildung zur Abklärung, Behandlung und operativen Versorgung von gutartigen und bösartigen Gewächsen im Bereich des Stütz- und Bewegungsapparates (Knochen- und Weichteiltumore), an der Univ. Klinik für Orthopädie und Traumatologie, LKH Graz, kommt Ihnen bei der Behandlung zu Gute.
Meine Leidenschaft für Medizin, Orthopädie und chirurgische Eingriffe führt über den direkten PatientInnenkontakt zu einer individuellen, auf wissenschaftlichen Daten basierenden Behandlung und entsprechenden Therapiekonzepten.
Die Kooperation mit umliegenden Kolleginnen und Kollegen aller Fachdisziplinen, sowie anderen Kolleginnen und Kollegen im Bereich der Orthopädie und orthopädischen Chirurgie, ermöglicht eine adäquate Diagnostik, Therapieplanung und erfolgversprechende Behandlung im Sinne der Patientinnen und Patienten. Zusätzlich besteht ein gut funktionierendes Netzwerk zur interdisziplinären Behandlung von komplexen Erkrankungen des Stütz- und Bewegungsapparates mit dem LKH Graz.
Durch die hauseigene Physiotherapie, den umliegenden physiotherapeutischen Zentren und den vielen niedergelassenen Therapeutinnen und Therapeuten, ist eine optimale Bewegungs- und (Re-)Mobilisationstherapie garantiert.
Ich freue mich, Sie im Bedarfsfall in unserer Ordination begrüßen zu dürfen.
Meine langjährige Erfahrung und Ausbildung im Bereich der minimal-invasiven Hüftchirurgie, der Revisionschirurgie (Wechseloperationen) an der Hüfte, allgemein-orthopädischen Eingriffen, sowie die Spezialausbildung zur Abklärung, Behandlung und operativen Versorgung von gutartigen und bösartigen Gewächsen im Bereich des Stütz- und Bewegungsapparates (Knochen- und Weichteiltumore), an der Univ. Klinik für Orthopädie und Traumatologie, LKH Graz, kommt Ihnen bei der Behandlung zu Gute.
Meine Leidenschaft für Medizin, Orthopädie und chirurgische Eingriffe führt über den direkten PatientInnenkontakt zu einer individuellen, auf wissenschaftlichen Daten basierenden Behandlung und entsprechenden Therapiekonzepten.
Die Kooperation mit umliegenden Kolleginnen und Kollegen aller Fachdisziplinen, sowie anderen Kolleginnen und Kollegen im Bereich der Orthopädie und orthopädischen Chirurgie, ermöglicht eine adäquate Diagnostik, Therapieplanung und erfolgversprechende Behandlung im Sinne der Patientinnen und Patienten. Zusätzlich besteht ein gut funktionierendes Netzwerk zur interdisziplinären Behandlung von komplexen Erkrankungen des Stütz- und Bewegungsapparates mit dem LKH Graz.
Durch die hauseigene Physiotherapie, den umliegenden physiotherapeutischen Zentren und den vielen niedergelassenen Therapeutinnen und Therapeuten, ist eine optimale Bewegungs- und (Re-)Mobilisationstherapie garantiert.
Ich freue mich, Sie im Bedarfsfall in unserer Ordination begrüßen zu dürfen.
Leistungen
Endoprothetik Hüfte
Minimal-invasive Hüftendoprothetik/Minimal-invasiver Hüftgelenksersatz Minimalinvasive Operationswege (Zugänge) haben sich bei der Implantation eines künstlichen Hüftgelenks bewährt, da sie besonders gewebeschonend sind. Die Muskulatur wird dabei lediglich zur Seite geh...
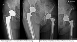
Revisionsoperationen Hüfte
Schmerzen nach einer Hüfttotalprothese können mannigfaltige Ursachen haben. Weichteilprobleme, „Abnutzungserscheinungen“ älterer Prothesensysteme, Lockerungen oder Keimbesiedelungen des Implantates (Infektion) sind mögliche Gründe. Die Diagnostik beinhaltet...
Orthopädie allgemein
In der orthopädischen Facharztordination haben wir uns auf die Abklärung, sowie die konservative (nicht operative) und operative Behandlung von Erkrankungen des Stütz- und Bewegungsapparates spezialisiert.
Knochen- und Weichteiltumore
Knochen- und Weichteiltumore sind selten und können in gut- und bösartige Gewächse unterteilt werden. Eine frühzeitige, korrekte Diagnostik und Therapieplanung sind entscheidend für den Behandlungserfolg. Daher sollte bei Vorliegen eines Tumors des Bewegungsapparates ein Fac...
Weitere Ärzte im Umkreis
OA Dr. Michael Pechmann
Orthopäde, Sportorthopäde (in [[ calculateDistanceTo([15.151647,47.04896]) ]] km)
3,8
(23)
Dr. Birgit Mayr
Praktische Ärztin, Orthopädin, Schwerpunkt: Schmerztherapie, Schwerpunkt: Sportmedizin (in [[ calculateDistanceTo([15.076882,47.061601]) ]] km)
4,9
(97)
Orthopädie u. Orthopädische Chirurgie, Orthopädie
Beiträge aus dem Fachbereich

Bakerzyste - Ursache, Symptome und Behandlung
Eine Bakerzyste ist eine mit Gelenkflüssigkeit gefüllte Ausstülpung der Gelenkkapsel des Kniegelenks. Sie entsteht häufig bei sogenannten chronischen...

Kollagen: Wirkung und Risiken – was bringt es wirklich für Haut und Gelenke?
Kollagen steht für straffe Haut, kräftiges Haar, starke Nägel und schmerzfreie Gelenke – zumindest laut den Werbeversprechen vieler Kollagenpräparate. Doch...

Hüftschmerzen
Beschwerden im und um das Hüftgelenk sind ein weit verbreitetes Problem und betreffen nahezu jeden Menschen irgendwann im Laufe des Lebens. Der Schmerzursprung...

Meniskusriss
Meniskusrisse zählen zu den häufigsten Sportverletzungen, aber auch altersbedingte Abbauprozesse können eine Ursache für solche Verletzungen sein. In diesem...
Bakerzyste - Ursache, Symptome und Behandlung
Eine Bakerzyste ist eine mit Gelenkflüssigkeit gefüllte Ausstülpung der Gelenkkapsel des Kniegelenks. Sie entsteht häufig bei sogenannten chronischen...
Kollagen: Wirkung und Risiken – was bringt es wirklich für Haut und Gelenke?
Kollagen steht für straffe Haut, kräftiges Haar, starke Nägel und schmerzfreie Gelenke – zumindest laut den Werbeversprechen vieler Kollagenpräparate. Doch...
Hüftschmerzen
Beschwerden im und um das Hüftgelenk sind ein weit verbreitetes Problem und betreffen nahezu jeden Menschen irgendwann im Laufe des Lebens. Der Schmerzursprung...
Meniskusriss
Meniskusrisse zählen zu den häufigsten Sportverletzungen, aber auch altersbedingte Abbauprozesse können eine Ursache für solche Verletzungen sein. In diesem...
Gesamtbewertung
5,0
(2 Bewertungen)
| 5 Punkte |
|
100% |
| 4 Punkte |
|
0% |
| 3 Punkte |
|
0% |
| 2 Punkte |
|
0% |
| 1 Punkt |
|
0% |
Detailbewertungen anzeigen
Detailbewertungen
Erklärung zum Bewertungssystem| Einfühlungsvermögen des Arztes |
5,0
|
(2) |
| Serviceangebot |
5,0
|
(2) |
| Betreuung durch Arzthelfer |
5,0
|
(2) |
| Praxisaustattung / Räumlichkeiten |
5,0
|
(2) |
| Zufriedenheit mit der Behandlung |
5,0
|
(2) |
| Vertrauen zum Arzt |
5,0
|
(2) |
| Wartezeit im Warteraum |
5,0
|
(2) |
| Wartezeit auf Termin |
3,5
|
(2) |
Erfahrungsberichte
Guter Orthopäde
5,0
Von einem DocFinder Nutzer
In dieser Ordination ist der Arzt und die Sprechstundenhilfe sehr freundlich
In dieser Ordination ist der Arzt und die Sprechstundenhilfe sehr freundlich
Mehr anzeigen
In dieser Ordination ist der Arzt und die Sprechstundenhilfe sehr freundlich
| Einfühlungsvermögen des Arztes |
|
| Vertrauen zum Arzt |
|
| Zufriedenheit mit der Behandlung |
|
| Serviceangebot |
|
| Praxisaustattung / Räumlichkeiten |
|
| Betreuung durch Arzthelfer |
|
| Wartezeit im Warteraum |
|
| Wartezeit auf Termin |
|
Diese Bewertung ist die subjektive Meinung eines Patienten und nicht die der DocFinder GmbH.
Weniger anzeigen
Toller Arzt
5,0
Von einem DocFinder Nutzer
Er ist ein sehr kompetenter und freundlicher Arzt. Er hat mein vollstes Vertrauen. Und weil er so gut ist, gibt es leider längere Wartezeiten bei den…
Er ist ein sehr kompetenter und freundlicher Arzt. Er hat mein vollstes Vertrauen. Und weil er so gut ist, gibt es leider längere Wartezeiten bei den Terminen. Ein Wermutstropfen ist leider aus, dass bei akuten Schmerzen kurzfristig kein Termin frei ist, da er voll ausgelastet ist.
Mehr anzeigen
Er ist ein sehr kompetenter und freundlicher Arzt. Er hat mein vollstes Vertrauen. Und weil er so gut ist, gibt es leider längere Wartezeiten bei den Terminen. Ein Wermutstropfen ist leider aus, dass bei akuten Schmerzen kurzfristig kein Termin frei ist, da er voll ausgelastet ist.
| Einfühlungsvermögen des Arztes |
|
| Vertrauen zum Arzt |
|
| Zufriedenheit mit der Behandlung |
|
| Serviceangebot |
|
| Praxisaustattung / Räumlichkeiten |
|
| Betreuung durch Arzthelfer |
|
| Wartezeit im Warteraum |
|
| Wartezeit auf Termin |
|
Diese Bewertung ist die subjektive Meinung eines Patienten und nicht die der DocFinder GmbH.
Weniger anzeigen
Detailbewertungen anzeigen
Detailbewertungen
Erklärung zum Bewertungssystem| Einfühlungsvermögen des Arztes |
5,0
|
(2) |
| Serviceangebot |
5,0
|
(2) |
| Betreuung durch Arzthelfer |
5,0
|
(2) |
| Praxisaustattung / Räumlichkeiten |
5,0
|
(2) |
| Zufriedenheit mit der Behandlung |
5,0
|
(2) |
| Vertrauen zum Arzt |
5,0
|
(2) |
| Wartezeit im Warteraum |
5,0
|
(2) |
| Wartezeit auf Termin |
3,5
|
(2) |
Erweitertes Profil (entgeltlich).
Aktualität, Richtigkeit und Vollständigkeit der Daten ohne Gewähr.
Ab Juli 2024 werden wir mehr Termine anbieten können, auch kurzfristige "Einschubtermine" sollten dann zusätzlich möglich sein.