Revisionsoperationen Hüfte

Revisionsoperationen Hüfte - Priv.-Doz. DDr. Jörg Friesenbichler - Orthopäde Rosental an der Kainach 8582
1/1
Schmerzen nach einer Hüfttotalprothese können mannigfaltige Ursachen haben. Weichteilprobleme, „Abnutzungserscheinungen“ älterer Prothesensysteme, Lockerungen oder Keimbesiedelungen des Implantates (Infektion) sind mögliche Gründe. 
Die Diagnostik beinhaltet neben der klinischen Untersuchung diverse bildgebende Verfahren wie Röntgen, CT, MRT, und/oder Szintigraphie.
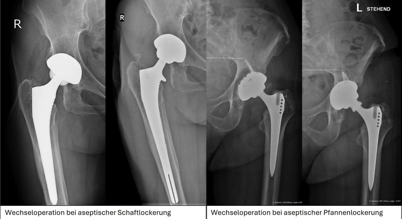
Die Revisionsoperation eines künstlichen Hüftgelenkes kann erforderlich sein, wenn ein Implantat gelockert oder gebrochen ist, die Verschleißteile (z.B. Gleitpaarungen) abgenutzt sind, eine Infektion des Implantates vorliegt, und/oder das künstliche Hüftgelenk chronisch, therapieresistente Schmerzen verursacht. 
Bei einer Wechseloperation werden, je nach Indikation, entweder einzelne Teile/Komponenten der implantierten Prothese (Gleitpaarung, Pfanne, Schaft), oder auch das komplette Implantat ausgewechselt. Je nach Knochenverlust können spezielle Verankerungstechniken (Schrauben, Zement, 3D gedruckte Implantate) notwendig werden. Knochendefekte können durch künstlichen Knochen oder Fremdknochen (sogenannter Spenderknochen/Allograft) wieder hergestellt oder aufgefüllt werden.
Erweitertes Profil (entgeltlich). Aktualität, Richtigkeit und Vollständigkeit der Daten ohne Gewähr.