Hallux valgus

Hallux valgus - OA Dr. Peter Radakovits - Orthopäde Baden 2500
1/1

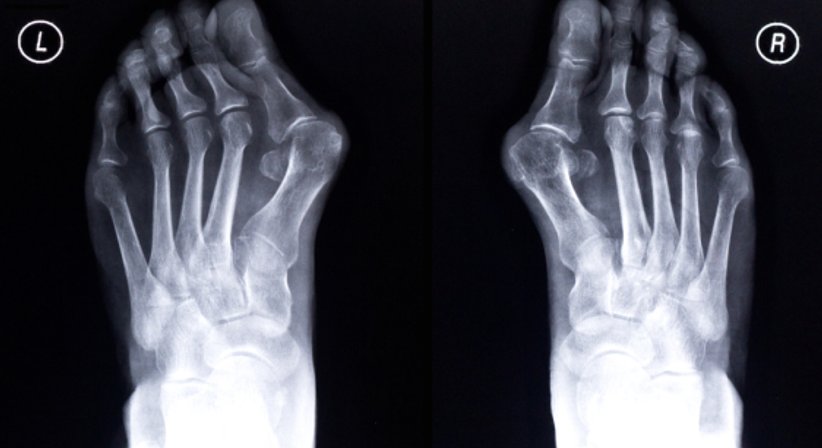
Der Hallux valgus ist die am häufigsten auftretende Zehenfehlstellung. Die Fehlstellung ist durch eine Deformierung des Großzehenballens charakterisiert; die Großzehe weicht von ihrer natürlichen Position ab und beginnt sich in Richtung der anderen Zehen abzuwinkeln. Häufig "verdrängt" die Großzehe die anderen Zehen sogar von ihrer natürlichen Stellung. In Folge der Schiefstellung wölbt sich der Ballenbereich am Innenfuß nach vorne.

Typisch für einen Hallux valgus ist das sichtbar hervortretende Köpfchen an der Innenseite vom Fuß. Mit fortschreitendem Verlauf kommt es zu Schmerzen, insbesondere dann, wenn der vergrößerte Ballen beim Gehen gegen die Schuhe drückt. Durch das Tragen zu enger Schuhe kommt es zu einer dauerhaften Reizung der Haut und des darunterliegenden Gewebes und in weiterer Folge zu Schwellungen und Entzündungen.

Behandlung
Schmerzen und andere Beschwerden können mit konservativen Maßnahmen, darunter das Tragen bequemer Schuhe, Schuheinlagen und Physiotherapie zur Kräftigung der Fußmuskulatur, behandelt werden. Eine dauerhafte Korrektur des Hallux valgus ist jedoch nur mit einer operativen Behandlung möglich.

Für die Operation des Hallux valgus stehen viele verschiedene Vorgehensweisen zur Wahl, darunter die Austin-Osteotomie, bei welcher eine Operation an den Weichteilen mit einer Korrektur der knöchernen Fehlstellung kombiniert wird.

Nach der Operation müssen Patienten für mehrere Wochen einen Spezialschuh tragen, in den ersten zwei Wochen nach dem Eingriff sollte der Fuß zudem regelmäßig hochgelagert und geschont werden.

Vor dem Eingriff kläre ich Sie ausführlich und verständlich über die Notwendigkeit der Operation, mögliche Alternativen, den genauen Ablauf, die Risiken und den Ablauf der Nachbehandlung auf. Bei Fragen stehe ich meinen Patienten vor und nach einer Operation jederzeit zur Verfügung.

Für weitere Informationen zur Behandlung des Hallux valgus und zu anderen fußchirurgischen Eingriffen bin ich in der Ordination gerne für Sie da.

Erweitertes Profil (entgeltlich). Aktualität, Richtigkeit und Vollständigkeit der Daten ohne Gewähr.