Vorfuß Operationen

Vorfuß Operationen - Dr. med. univ. Vedat Sahin - Orthopäde Wien 1230
1/1

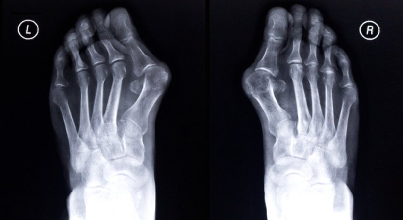
Hallux valgus

Der Hallux valgus (auch als Ballenzeh, Überbein oder Frostbeule bekannt) ist durch eine Fehlstellung der Großzehe gekennzeichnet. Der Schiefstand der großen Zehe ist nach seitlich außen gerichtet. Ein Hallux valgus wird vor allem durch das Tragen von zu engen oder zu hohen Schuhen verursacht. Somit sind primär Frauen vom Ballenzeh betroffen. Durch die Zehenverformung können Druckstellen entstehen. Außerdem kann die Fehlstellung Entzündungen, Schwellungen und starke Schmerzen hervorrufen. Da der Verlauf des Hallux valgus fortschreitend ist, empfehle ich den Betroffen eine operative Stellungskorrektur.

Gerne informiere ich Sie in meiner Ordination ausführlich über mögliche Operationsmethoden!

Hallux rigidus

Der Hallux rigidus entsteht meist durch eine permanente Überlastung des Gelenks der Großzehe. Verletzungen und Sportunfälle können ebenfalls einen Hallux rigidus verursachen. Diese durch Arthrose bedingte Versteifung des Grundgelenks der großen Zehe ist mit starken Schmerzen und Schwellungen verbunden, die eine Abrollbewegung des Fußes so gut wie unmöglich macht.

Die Behandlung des Gelenks erfolgt anfangs mit physiotherapeutischen Maßnahmen. Zusätzlich kann der geschädigte Knorpel mit Hyaluronsäureinjektionen gestärkt werden. Kortisonhaltige Medikamente können ebenfalls verabreicht werden. Führen all diese konservativen Maßnahmen zu keiner Schmerzlinderung, kann der Hallux rigidus auch operativ behandelt werden.

Hammerzehe

Die Hammerzehe (Hallux malleus), wird meist durch das Tragen unpassender Schuhe verursacht. Rheumatische Erkrankungen können ebenfalls einen Hammerzeh begünstigen. Beim Hammerzeh ist das Zehen-Mittelgelenk sehr stark nach oben gebeugt. Das Endglied des Zehs zeigt wie ein Hammer nach unten. Oft bilden sich Hühneraugen an den Zehen. Die Schwielen können starke Schmerzen auslösen. In den meisten Fällen hilft nur noch eine Hammerzeh-Operation, um das Fortschreiten der Krankheit zu verhindern. Die Operationsmethode richtet sich nach der Krümmung der Zehe.

Haben Sie Fragen zur Hammerzehe? Zögern Sie nicht, mich zu kontaktieren.

Erweitertes Profil (entgeltlich). Aktualität, Richtigkeit und Vollständigkeit der Daten ohne Gewähr.