Hallux valgus

Hallux valgus - OA Dr. Günter Stolz - Orthopäde Wien 1130
1/1
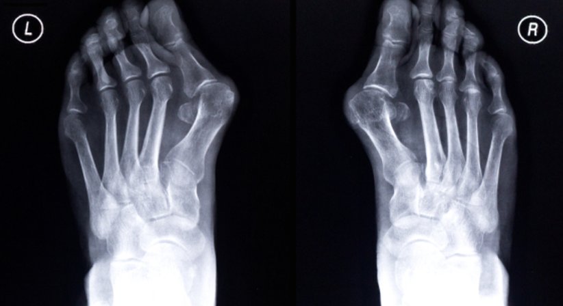
Beim Hallux valgus handelt es sich um eine Deformierung des Großzehenballens (Fehlstellung der Großzehe im Grundgelenk nach außen hin), die zumeist mit einer abnormen Spreizung im Bereich vom Mittelfuß einhergeht.

Der Hallux valgus ist die häufigste Fehlstellung/Deformität im Vorfußbereich, die Großzehe verändert ihre natürliche Stellung und winkelt sich allmählich in Richtung der anderen Zehen ab. In vielen Fällen verdrängt der große Zeh die anderen Zehen auch aus ihrer natürlichen Position; aufgrund der Schiefstellung beginnt sich der Ballenbereich am Innenfuß vorzuwölben und nach einiger Zeit wird die für den Hallux valgus charakteristische Beule sicht- und tastbar. In schweren Fällen kommt es durch die Schiefstellung zu einer chronischen Überlastung der benachbarten Zehen und Gelenke sowie des Mittelfußknochens.

In fortgeschrittenen Stadien drückt der vergrößerte Ballen gegen die Schuhe, was beim Gehen und Laufen zu teils starken Schmerzen führen kann. Darüber hinaus können sich aufgrund der Fehlstellung auch die Lastenverteilung auf der Fußsohle und das Gangbild verändern.

Ein Hallux valgus ist häufig genetisch bedingt, jedoch können auch andere Faktoren wie Übergewicht, das Tragen zu enger Schuhe, oder eine zu schwache Fußmuskulatur die Entstehung der Fehlstellung begünstigen.

Die Behandlung richtet sich nach unterschiedlichen Faktoren. Zunächst kann versucht werden durch das Tragen von Schuheinlagen, Vermeiden von engem Schuhwerk, Gewichtsreduktion und Fußgymnastik die Beschwerden zu mildern und ein Fortschreiten der Erkrankung zu verzögern.

Operative Versorgung
Eine Heilung des Hallux valgus ist nur durch einen korrigierenden Eingriff möglich.
Als orthopädischer Chirurg habe ich einen meiner Schwerpunkte auf den Hallux valgus- Komplex gelegt. Abhängig vom Grad der Deformität wende ich verschiedene Methoden zur Korrektur an, da nicht jeder Hallux valgus gleich ist und daher individuell behandelt werden muss.
Das Ziel der Operation ist die Korrektur der Fehlstellung und ein schmerzfreier kosmetisch schöner Fuß. Dabei achte ich im Besonderen auf kleine, schonende Zugänge. Ich verwende Schrauben, die dauerhaft im Knochen belassen werden können, um meinen Patienten so einen unnötigen Zweiteingriff zu ersparen, nach Möglichkeit aus resorbierbarem Material.
Postoperativ erhalten meine Patienten einen speziellen Verbandsschuh für einige Wochen. Regelmäßige Verbandswechsel und eine Schonung in den ersten Tagen begünstigen eine rasche Heilung.

Zu den im Wesentlichen von mir verwendeten Korrekturtechniken zählen:


Austin/Chevron-Osteotomie:

Hierbei wird eine V-förmige knöcherne Korrektur am ersten Mittelfußköpfchen in Kombination mit einem Weichteileingriff durchgeführt. Es handelt sich um die am häufigsten von mir verwendete Technik zur Sanierung des Hallux valgus.

Akin-Osteotomie:
Diese Operationstechnik wird oftmals in Verbindung mit anderen Hallux valgus-Eingriffen eingesetzt. Bei der Akin-Osteotomie erfolgt eine Umstellung des Großzehengrundglieds basisnah.

Scarf-Osteotomie:
Die Scarf-Osteotomie dient der Korrektur des mittelschweren bis schweren Hallux valgus. Hierbei wird eine z- förmige Osteotomie am ersten Mittelfußknochen durchgeführt und mit zwei kleinen Schrauben fixiert.

Arthrodese nach Lapidus:
Bei Patienten mit sehr großen Fehlstellungen, bei Rezidiven oder Instabilität kann eine Arthrodese nach Lapidus durchgeführt werden. Hierbei handelt es sich um einen Eingriff, bei welchem eine Versteifung zwischen dem ersten Mittelfußknochen und dem angrenzenden Fußwurzelknochen in der korrigierten Stellung durchgeführt wird. Nach der Operation erfolgt eine Ruhigstellung im Gips bzw. Walkerstiefel für einige Wochen.

Grosszehengrundgelenksarthodese:

Bei fortgeschrittener Arthrose im Grosszehengrundgelenk, Schmerzen und Bewegungseinschränkung, ist die Versteifung dieses Gelenks sinnvoll, um schmerzfrei und wieder sportlich aktiv zu werden.



Bei Fragen und für weitere Informationen zur Behandlung des Hallux valgus bin ich gerne persönlich für Sie da.

Erweitertes Profil (entgeltlich). Aktualität, Richtigkeit und Vollständigkeit der Daten ohne Gewähr.