Ästhetische Zahnheilkunde

Ästhetische Zahnheilkunde - Dr. Gerwin V. Arnetzl - Zahnarzt Graz 8041
1/2
Ästhetische Zahnheilkunde - Dr. Gerwin V. Arnetzl - Zahnarzt Graz 8041
2/2

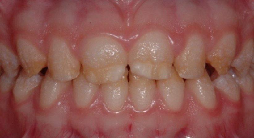
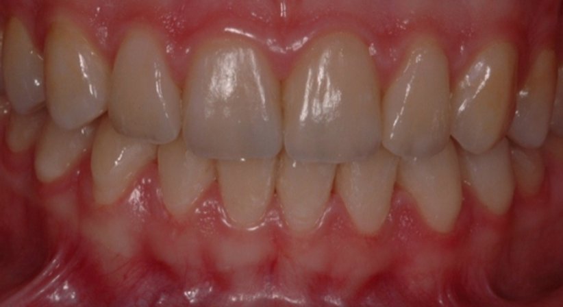
Veneers sind hauchdünne keramische Schalen. Sie ermöglichen eine perfekte Ästhetik, ohne den Zahn wie für eine herkömmliche Krone beschleifen zu müssen. Wir bieten: ästhetische Analyse, voraussagbares ästhetisches Ergebnis, über 20 jährige Erfahrung in der Therapie mit Veneers.

Erweitertes Profil (entgeltlich). Aktualität, Richtigkeit und Vollständigkeit der Daten ohne Gewähr.