Parodontalbehandlung

Parodontalbehandlung - Dr. Dr. med. univ. Johannes Küfler - Zahnarzt Illmitz 7142
1/1

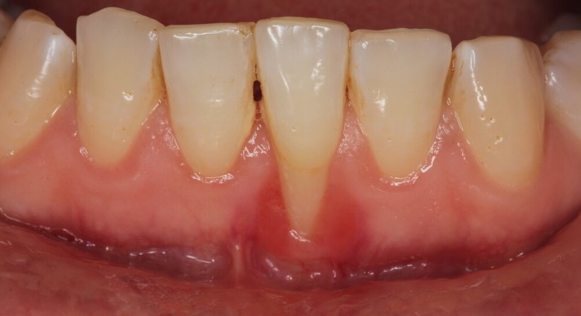
Bleiben oberflächliche Zahnfleischentzündungen unbehandelt, schreitet der Entzündungsprozess voran. In Folge siedeln sich immer mehr Bakterien an, wodurch sich die Zahnfleischtaschen an den Zähnen vertiefen und sich Zahnfleisch sowie Knochen, in dem der Zahn verankert ist, zurückbilden.

 

Bei Parodontitis handelt es sich um eine Entzündung des Zahnhalteapparates, die diesen im fortgeschrittenen Stadium immer mehr abbaut. Die Zähne werden scheinbar länger, beginnen zu wackeln und fallen schlussendlich aus.

 

Die Ursachen und Risikofaktoren einer Parodontitis sind neben einer schlechten Mundhygiene auch das Rauchen, Stress, eine ungesunde Ernährung, systemische Erkrankungen wie Diabetes oder eine genetisch bedingte Anfälligkeit.

 

Ziel einer Parodontalbehandlung ist der langfristige Erhalt der Zähne. Vor Beginn der Therapie wird eine professionelle Zahnreinigung durchgeführt. Danach werden die Zahnfleischtaschen mithilfe kleiner Handinstrumente (Küretten) gesäubert und somit erkranktes Gewebe und Bakterien entfernt. Zudem wird die Tiefe der Taschen mit einer kleinen Sonde genau gemessen und dokumentiert.

 

Bei fortgeschrittener Parodontitis mit besonders tiefen Zahnfleischtaschen wird in der Ordination Dr. Küfler auch eine erweiterte Parodontalbehandlung angeboten, die u.a. eine chirurgische Reinigung der Taschen (offene Kürettage), eine Auffüllung der Zahnfleischtaschen mit Knochenersatzmaterial und eine Lasertherapie beinhaltet.

 

Sorgen wir gemeinsam für den lebenslangen Erhalt Ihrer Zähne!

Erweitertes Profil (entgeltlich). Aktualität, Richtigkeit und Vollständigkeit der Daten ohne Gewähr.