Zahnästhetik

Zahnästhetik - Zahnärztin Petra Sulik, M.Sc. - Zahnärztin Schwanenstadt 4690
1/4
Zahnästhetik - Zahnärztin Petra Sulik, M.Sc. - Zahnärztin Schwanenstadt 4690
2/4
Zahnästhetik - Zahnärztin Petra Sulik, M.Sc. - Zahnärztin Schwanenstadt 4690
3/4
Zahnästhetik - Zahnärztin Petra Sulik, M.Sc. - Zahnärztin Schwanenstadt 4690
4/4
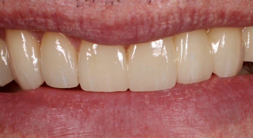
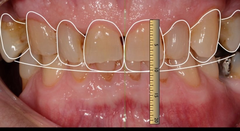
Ästhetische Rekonstruktionen

Gerade im Frontzahnbereich ist es wichtig ein natürliches und ästhetisch ansprechendes Ergebnis zu erreichen.
Deshalb werden im Vorfeld eine ausführliche Planung, Fotodokumentation, Analyse und digitales Design durchgeführt, um ein mögliches Ergebnis zunächst digital zu visualisieren. Diese Planung wird mit einem wax-up und mock-up im Mund umgesetzt, so kann eine ästhetische Lösung getestet, verfeinert und an Ihre Vorstellung angepasst werden.

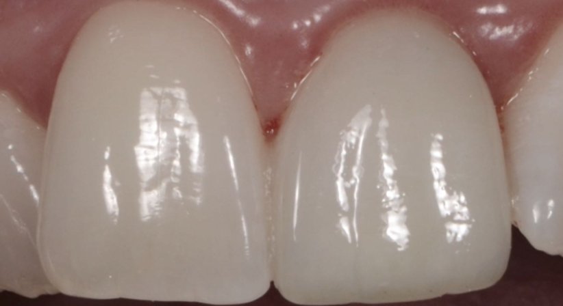
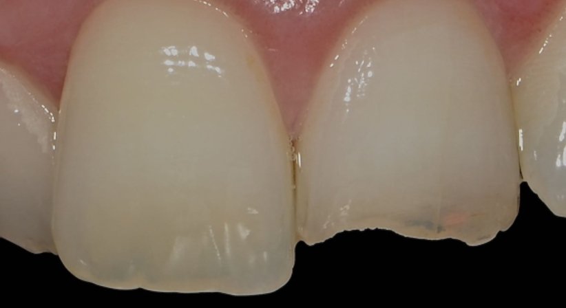
Veneers
Bei Veneers handelt es sich um hauchdünne, zahnfarbene und vor allem aufwändig und individuell gefertigte Verblendschalen aus Keramik, die mit einem speziellen Kleber dauerhaft an der Zahnoberfläche befestigt werden.

Veneers haben vordergründig einen ästhetischen Nutzen. So können mit den Keramikschalen z.B. Zahnverfärbungen, leichte Zahnfehlstellungen, kleine Zahnlücken, unregelmäßige Zahnkanten oder abgesplitterte Zahnecken bestmöglich korrigiert werden.

Mit Veneers wird eine optisch wirkungsvolle Verschönerung Ihres Gebisses unter maximaler Schonung der Zahnsubstanz erreicht!

Haben auch Sie Interesse an Veneers? Lassen Sie sich beraten!

Kompositfüllungen
Wir verzichten aus Überzeugung vollständig auf Amalgam. Die Füllungstherapie erfolgt ausschließlich mit hochwertigem Kunststoff (Komposit) oder Keramik.

Zahnfüllungen aus einer hochwertigen Kunststoffmatrix werden als Komposite bezeichnet. Kompositfüllungen kommen in der Regel im Front- und Seitenzahnbereich zum Einsatz. Sie sind sehr fest und belastbar und schützen den Zahn nachhaltig vor weiterem Kariesbefall. Das Komposit-Material verklebt mit der vorhandenen Zahnhartsubstanz.

Komposite gehören zu den sogenannten weißen Füllungen und sind somit ästhetisch zahnfarben.

Ich und mein Team bilden uns ständig weiter, um Ihnen im Bereich der ästhetische Zahnmedizin stets die neuesten und modernsten Methoden anbieten zu können.

Bei Fragen bin ich gerne auch persönlich für Sie da!

Erweitertes Profil (entgeltlich). Aktualität, Richtigkeit und Vollständigkeit der Daten ohne Gewähr.