Kunststofffüllung-Frontzähne

Kunststofffüllung-Frontzähne - Dr. med. dent. Ali Al-Samarrae - Zahnarzt Wien 1040
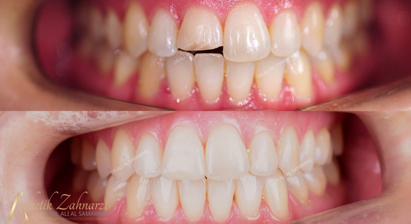
1/4
Kunststofffüllung-Frontzähne - Dr. med. dent. Ali Al-Samarrae - Zahnarzt Wien 1040
2/4
Kunststofffüllung-Frontzähne - Dr. med. dent. Ali Al-Samarrae - Zahnarzt Wien 1040
3/4
Kunststofffüllung-Frontzähne - Dr. med. dent. Ali Al-Samarrae - Zahnarzt Wien 1040
4/4
Ästhetische Frontzahnfüllungen
sind zahnärztliche Behandlungen, die darauf abzielen, Defekte oder Unregelmäßigkeiten an den Frontzähnen zu korrigieren, während gleichzeitig ein natürlicher und ästhetischer Look erhalten bleibt. Hier sind einige wichtige Informationen dazu:

Arten von ästhetischen Frontzahnfüllungen:
Komposite Füllungen, Kunststofffülungen (zahnfarbene Füllungen):

Diese Füllungen bestehen aus einem zahnfarbenem Kunststoffmaterial (Komposit). Sie werden direkt auf den Zahn aufgetragen und können geformt und poliert werden, um eine natürliche Ästhetik zu erreichen.

Porzellanverblendungen (Veneers – Lumineers) oder Kronen:

Bei umfangreichen Schäden oder zur Verbesserung der Ästhetik können Porzellanverblendungen oder Kronen verwendet werden. Diese werden individuell angefertigt und über den gesamten Zahn platziert.

Anwendungen von ästhetischen Frontzähnefüllungen:
Kariesbehandlung:

Ästhetische Füllungen können Karies an den Frontzähnen behandeln und dabei die natürliche Zahnfarbe imitieren.

Zahnfehlstellungen ausgleichen:

Bei leichten Zahnfehlstellungen oder Lücken können Füllungen verwendet werden, um eine verbesserte Form und Ästhetik zu erreichen.

Schöneres Erscheinungsbild:

Ästhetische Frontzahnfüllungen können dazu beitragen, das Erscheinungsbild von Zähnen zu verbessern, die durch Abnutzungen, Verfärbungen oder kleine Risse beeinträchtigt sind.
Erweitertes Profil (entgeltlich). Aktualität, Richtigkeit und Vollständigkeit der Daten ohne Gewähr.