Wurzelbehandlung

Wurzelbehandlung - Dr. Peter Brandstätter, MSc - Zahnarzt Wien 1010
1/1
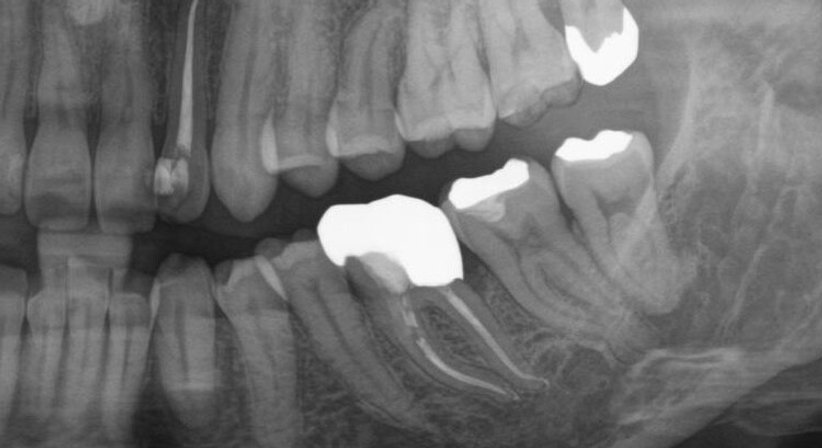
Bei tiefer Karies oder einer Unfallverletzung gelangen Bakterien bis zum lebenden Zahnnerv. Entzündet sich dieser, kommt es zu bohrenden Zahnschmerzen.

Gab es früher nur die Möglichkeit, den betroffenen Zahn zu ziehen, erlaubt die moderne Medizin ihn heute zu erhalten – durch eine Wurzelkanalbehandlung.

Rasante Weiterentwicklungen auf diesem Gebiet machen eine laufende Weiterbildung nötig; feinste Präzisionsarbeit mit Lupe und Mikroskop erlaubt es dafür, selbst stark infizierte Zähne zu retten.

Wir haben eine Spezialausbildung und langjährige Erfahrungen mit Wurzelbehandlungen – gerne erklären wir Ihnen die einzelnen Schritte!
Erweitertes Profil (entgeltlich). Aktualität, Richtigkeit und Vollständigkeit der Daten ohne Gewähr.