Fußchirurgie

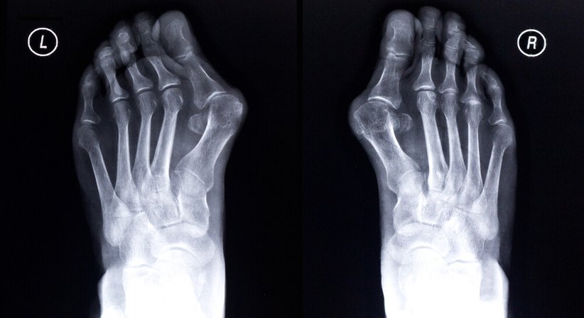
- Hallux valgus
Beim Hallux valgus handelt es sich um eine Fehlstellung des Großzehengrundgelenks, die häufig durch das Tragen von zu engen, spitz zulaufenden Schuhen entsteht und deshalb meist Frauen betrifft. Die Behandlung erfolgt anfangs konservativ. In schweren Fällen hilft nur noch eine Operation, durch die die natürliche Zehenstellung wiederhergestellt wird.
- Hallux rigidus
Als Hallux rigidus wird eine Arthrose im Großzehengrundgelenk bezeichnet. Im fortgeschrittenen Stadium wird jede Abrollbewegung der Zehe zur Qual, im Spätstadium ist das Gelenk versteift. Die Behandlung kann sowohl konservativ als auch operativ erfolgen.
- Hammer- und Krallenzeh
Als Hammerzeh wird eine Beugefehlstellung des Zehenmittelgelenks bezeichnet. Beim Krallenzehn liegt zusätzlich noch eine Überstreckung des Zehengrundgelenks vor. Die Behandlung erfolgt operativ, indem der Knochen verkürzt und die Zehe geradegerichtet wird.
- Morton Neurom
Beim Morton Neurom kommt es an den Nerven zwischen den Mittelfußknochen zu einer Entzündung und Verdickung. Als Ursache kommen verschieden Faktoren infrage: Spreizfuß, Bindegewebsschwäche, Übergewicht, langes Stehen, vermehrte Belastung durch Tragen zu hoher Schuhe. Die Diagnose wird meist mittels MRT gestellt. Die Therapie kann zunächst durch das Tragen weiter Schuhe und stützender Einlagen erfolgen. Führen die konservativen Maßnahmen jedoch zu keiner Besserung, sollte eine Operation erwogen werden.
Bei Fragen bin ich gerne für Sie da!