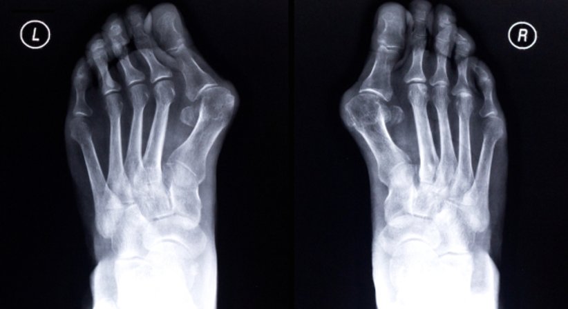
Hallux valgus

Hallux valgus - OA Dr. Michel Chraim - Orthopäde Wien 1080
1/1
Beim Hallux valgus handelt es sich um eine Deformität der Großzehe und um eine der häufigsten Zehenfehlstellungen beim Menschen.
Für viele Betroffene stellt die Fehlstellung anfangs vor allem ein kosmetisches Problem dar, allerdings ist der Hallux valgus vor allem ein Hinweis auf eine gestörte Biomechanik und eine Funktionsstörung des Fußes, welche möglichst frühzeitig behandelt werden sollte, um Begleiterkrankungen des Fußes und weitere Fehlstellungen zu vermeiden - denn dadurch, dass die Großzehe zum Außenrand des Fußes hin abweicht, werden die kleineren Zehen nach und nach von ihrer natürlichen Position vertrieben.


Weiters kommt es durch die Fehlstellung zu einer Überlastung des Großzehengrundgelenks, was vorzeitigen Gelenkverschleiß fördern kann. Verdrängte Kleinzehen (Krallenzehen, Hammerzehen) können weitere Fußdeformitäten zufolge haben, weiters kann es zu Schmerzen im Bereich des Mittelfußes kommen, da die Großzehe nicht mehr voll eingesetzt wird, was zu einer Überlastung der kleineren Zehen führt.

Mit zunehmendem Verlauf entzündet sich der für den Hallux valgus charakteristische Zehenballen und drückt schließlich beim Gehen schmerzhaft gegen den Schuh, was zu dauerhaften Reizungen der Haut und des darunter liegenden Gewebes sowie zu Schwellungen und Entzündungen führt.

Die konservative Behandlung fokussiert sich auf die Eindämmung der Fehlstellung und auf eine Milderung der Schmerzen und anderer Beschwerden. Zum Einsatz kommen orthopädische Hilfsmittel, physikalische Behandlungen und spezielle Fußgymnasik/Physiotherapie, um das muskuläre Gleichgewicht zu stabilisieren und die Biomechanik des Fußes zu verbessern. Die Fußgymnasik wird von spezialisierten Physiotherapeuten durchgeführt, ebenso wie die Physiotherapie nach der Operation, welche für die Erlangung der muskulären Balance und zur Kräftigung und Stabilisierung des Fußes besonders wichtig ist.
Wird möglichst frühzeitig mit einer entsprechenden konservativen Behandlung begonnen, lässt sich in vielen Fällen eine spürbare Besserung der Beschwerden erreichen.

Operation
Eine kausale Therapie des Hallux valgus ist allerdings nur im Rahmen einer Operation möglich, mithilfe konservativer Maßnahmen kann die Fehlstellung leider nicht beseitigt werden. Für den Eingriff stehen unterschiedliche Operationsverfahren zur Wahl, darunter z.B. die Operation nach Lapidus, die Chevron-, die Austin- und die Scarf-Osteotomie.
Die Wahl des im Einzelfall am besten geeigneten Operationsverfahrens hängt vom Schweregrad der Fehlstellung, möglichen Begleiterkrankungen (z.B. Hallux rigidus, Krallenzehen, Hammerzehen, Transfermetatarsalgie) und vielen weiteren Faktoren ab: Der Hallux valgus ist in fast allen Fällen eine Kombination verschiedener Krankheitsprozesse; kein Fall gleicht dem anderen, weswegen die Operation immer ein sehr individueller Eingriff ist, der vorab genau geplant und ausführlich in der Ordination besprochen wird. Mit einem speziellen Schuh ist das Gehen unmittelbar nach dem Eingriff möglich.

Bei Fragen bin ich gerne persönlich für Sie da.

Erweitertes Profil (entgeltlich). Aktualität, Richtigkeit und Vollständigkeit der Daten ohne Gewähr.