Betreuung von akuten Infektionen

Betreuung von akuten Infektionen - Univ.Prof. Dr. Armin Witt - Frauenarzt Wien 1090
1/6
Betreuung von akuten Infektionen - Univ.Prof. Dr. Armin Witt - Frauenarzt Wien 1090
2/6
Betreuung von akuten Infektionen - Univ.Prof. Dr. Armin Witt - Frauenarzt Wien 1090
3/6
Betreuung von akuten Infektionen - Univ.Prof. Dr. Armin Witt - Frauenarzt Wien 1090
4/6
Betreuung von akuten Infektionen - Univ.Prof. Dr. Armin Witt - Frauenarzt Wien 1090
5/6
Betreuung von akuten Infektionen - Univ.Prof. Dr. Armin Witt - Frauenarzt Wien 1090
6/6

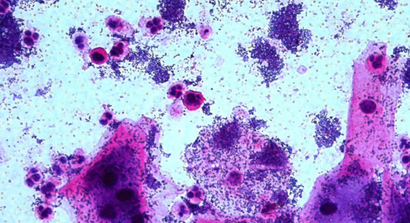
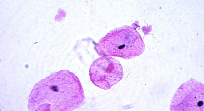
Die häufigsten Ursachen für den Symptomkomplex Vaginitis sind verschiedene Hefepilze (Candida albicans, Candida glabrata, Candida krusei u.a.) und/oder verschiedene anaerobe Bakterien, die zusammen die sog. Bakterielle Vaginose (BV) verursachen.Die Symptome sind subjektiv und können sich bei den verschiedenen Formen der Vaginitis sehr ähneln.

Es konnte in einigen Studien gezeigt werden, dass die alleinige Durchführung von Anamnese und makroskopischer Evaluierung mittels Spekulumuntersuchung die Ätiologie der vaginalen Infektion nicht bestimmen konnte. Diese Art der Untersuchung führt in der Hälfte der Fälle zu Falschdiagnosen und daraus resultierend zu falschen Therapien.

Vor allem bei akuten Beschwerden ist aber die eindeutige Diagnose unabdingbar. Eine falsche Diagnose führt häufig zum Arztwechsel.

Als „Goldstandard“ für die Differentialdiagnose von vaginalen Infektionen ist die mikroskopische Untersuchung des Abstrichpräparates nach GRAM-Färbung zu bezeichnen. Diese sollte aber nach eindeutigen Kriterien (nach Spiegel oder Nugent) beurteilt werden.

Erweitertes Profil (entgeltlich). Aktualität, Richtigkeit und Vollständigkeit der Daten ohne Gewähr.