Parodontaltherapie mit Ozon

Parodontaltherapie mit Ozon - DDr. Andreas Pinter - Zahnarzt Wien 1180
1/1

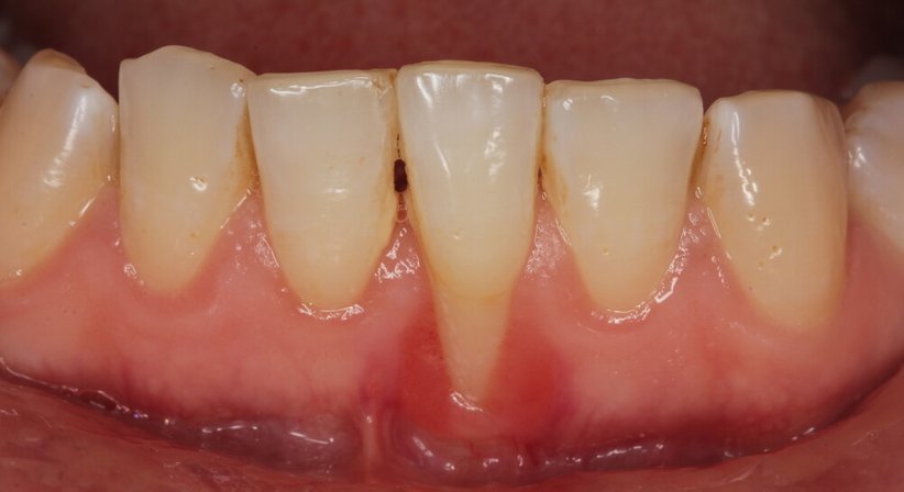
Eine bakterielle Entzündung des Zahnhalteapparats wird als Parodontitis bezeichnet. Parodontose, wie die Erkrankung im Volksmund noch genannt wird, verlauft meist schmerzlos. Typische Symptome wie Zahnfleischbluten, Schmerzen an Zähnen und Zahnfleisch sowie lästiger Mundgeruch werden von den Betroffenen oft erst in einem schon fortgeschrittenen Krankheitsstadium wahrgenommen. Bleibt eine Parodontitis unbehandelt, folgen Zahnfleischrückgänge, lange Zahnhälse und Zahnlockerungen. Der Knochen baut sich gefährlich weit ab. Im schlimmsten Fall droht Zahnverlust.

 

Ich biete meinen Patienten eine schmerzfreie Parodontaltherapie mittels Ozon an!

 

Medizinischer Ozon-Sauerstoff tötet bakterielle Keime verlässlich und ohne Nebenwirkungen für den Patienten ab und macht somit den Einsatz von belastenden Antibiotika meist überflüssig.

 

Der Erfolg der Ozon-Behandlung ist bereits nach wenigen Therapiesitzungen sichtbar, da gerade Parodontitis verursachende Keime sehr sensibel auf das in die Zahnfleischtaschen eingebrachte Ozon reagieren. So lässt sich die Entzündung auf sehr schonende, aber dennoch wirkungsvolle Art bekämpfen.

 

Ich stehe Ihnen gerne für ein ausführliches Beratungsgespräch zur Verfügung!

Erweitertes Profil (entgeltlich). Aktualität, Richtigkeit und Vollständigkeit der Daten ohne Gewähr.