Interventionelle Schmerztherapie

Interventionelle Schmerztherapie - Priv.Doz. Dr. Markus Reiter - Radiologe Wien 1140
1/1

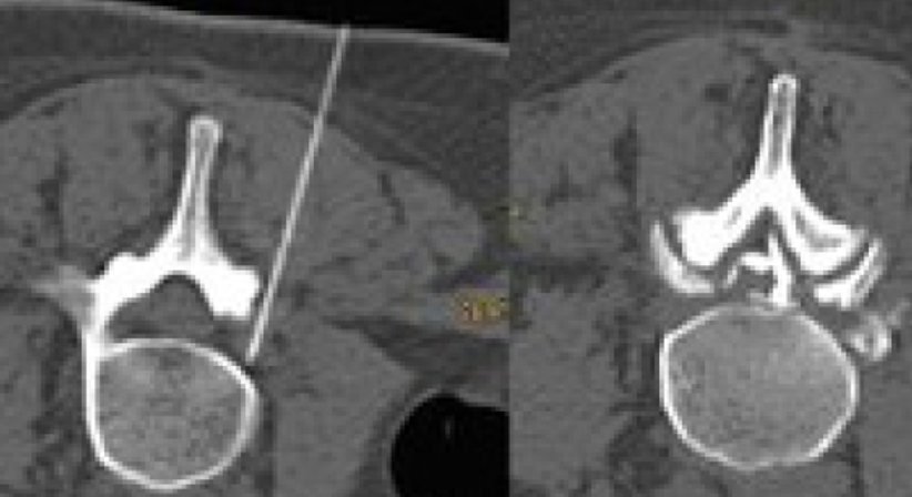
Die interventionell-radiologische Schmerztherapie ist ein effektives minimal-invasives Verfahren, das je nach Schmerzursache in 80-90% zu einer Schmerzlinderung führt. Unser Spezialgebiet ist die Behandlung chronischer Rückenschmerzen.

Diese Leistung wird auf Wahlarztbasis angeboten, für weitere Informationen kontaktieren Sie bitte unser Team oder besuchen Sie www.ctschmerztherapie.at

Erweitertes Profil (entgeltlich). Aktualität, Richtigkeit und Vollständigkeit der Daten ohne Gewähr.